FOR WALKING HEALTHILY INTO YOUR 100S
100세까지 건강하게 걷기 위한 혁신적 솔루션
Solutions
도입 형태에 맞춘 솔루션
기관 환경/운영 방식에 따라 가장 적합한 형태로 도입할 수 있습니다.
LMSM (Browser SaaS)
설치 없이 웹에서 업로드→분석→결과 확인까지. 빠른 도입과 운영이 가능한 근골격계 X-ray AI 분석 솔루션입니다.

- 브라우저 기반 (클리닉/의료진)
- 권한·계정·케이스 관리
- 결과 공유/다운로드 및 리포트
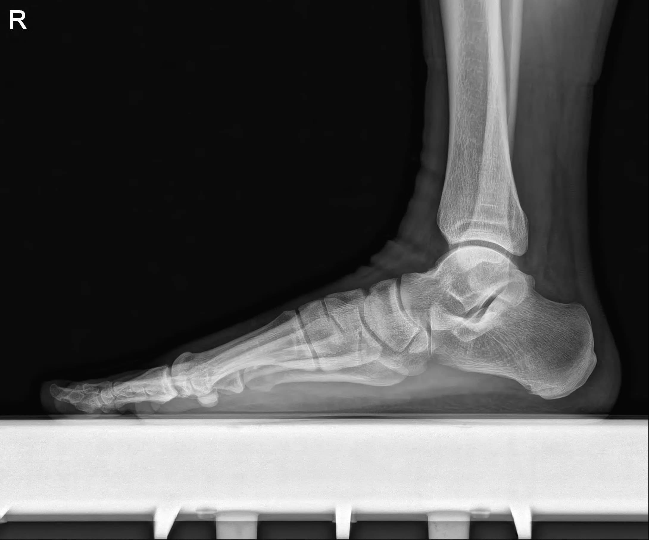
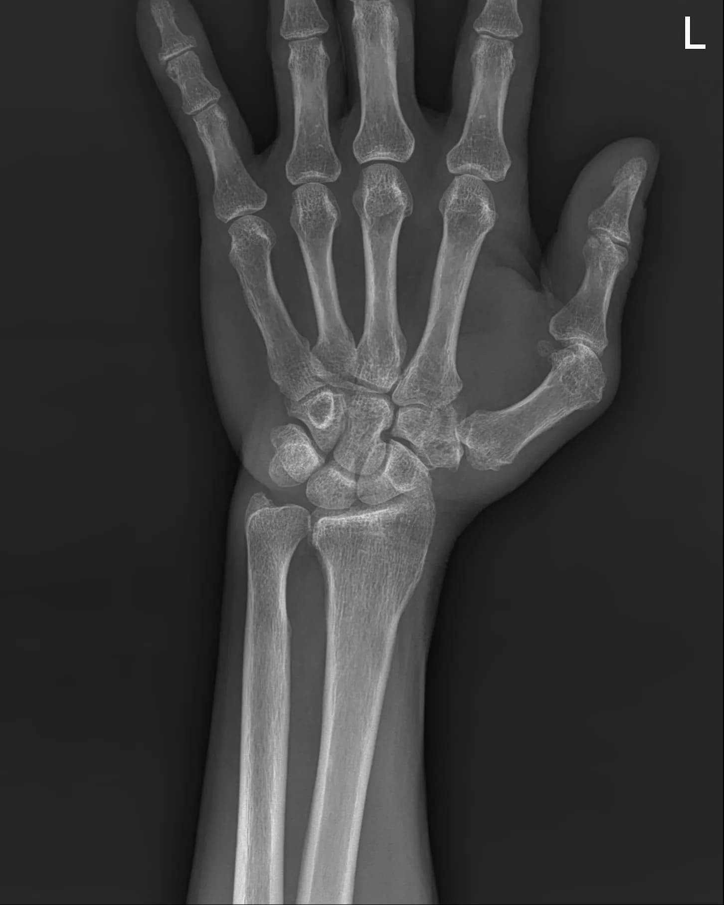
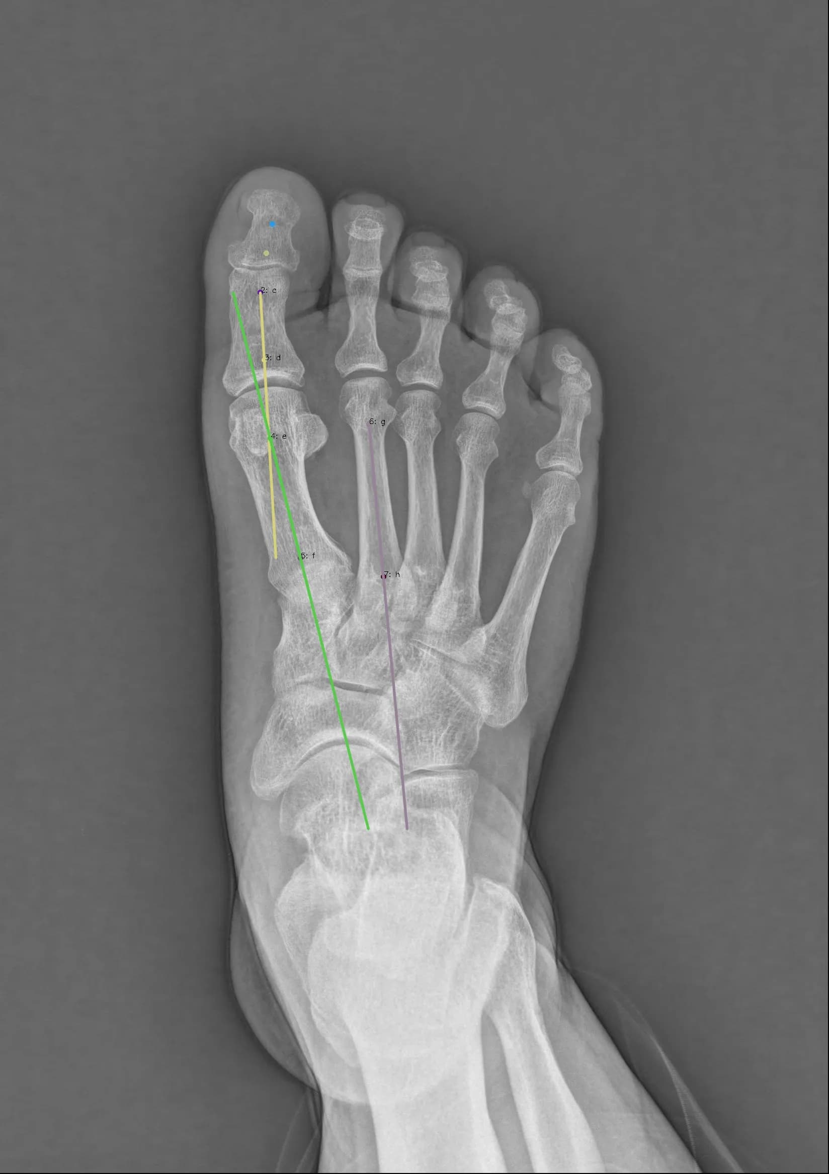
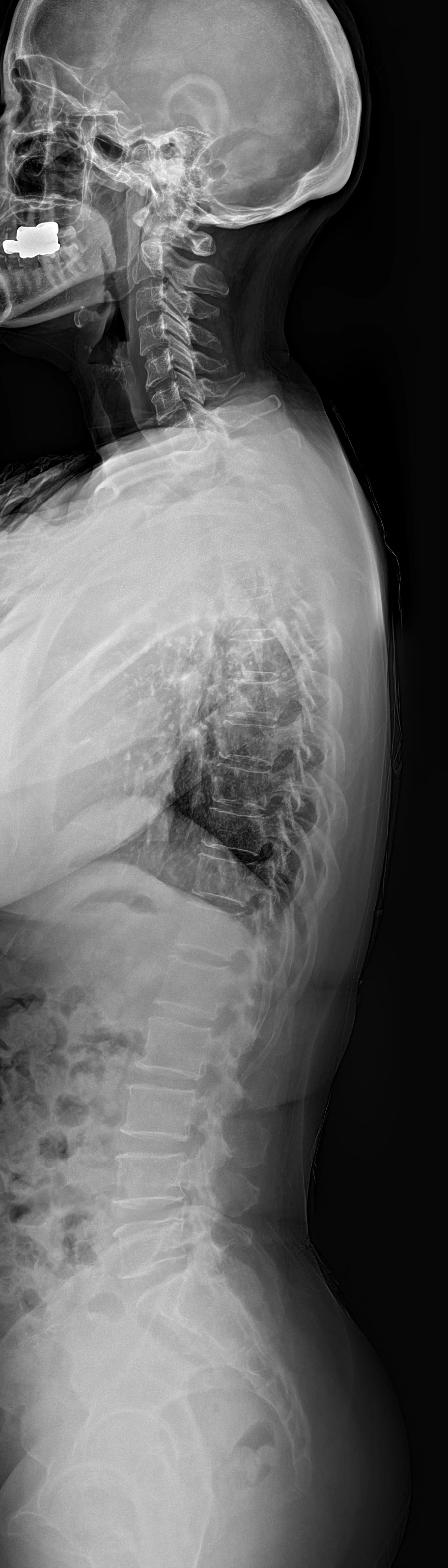
ANALYSIS
Musculoskeletal X-ray AI Analysis
부위를 클릭하여 결과 이미지를 확인하실 수 있습니다.
News
News
WALK101 관련 기사/선정 소식을 확인하세요.

Newsroom·2025.12.22
씨엔티테크 ‘초기창업패키지 로켓십 IR 경진대회’ 데모데이… 워크원오원 최우수상
씨엔티테크가 주관한 데모데이에서 워크원오원이 AI 기반 뼈·관절 X-ray 판독보조 소프트웨어로 최우수상을 수상했다.
Read →

Newsroom·2025.12.11
KOICA CTS ‘SEED 0’ 최종 25개 팀 발표… 워크원오원 포함
KOICA CTS ‘SEED 0’ 최종 선발 팀이 공개되며, 워크원오원이 명단에 포함됐다.
Read →

Newsroom·2025.12.09
인천창조경제혁신센터, ‘스타트업 패스파인더 공모전’ 시상 및 성과공유… 워크원오원 최우수
인천창조경제혁신센터가 ‘2025 스타트업 패스파인더 공모전’ 시상식과 성과공유회를 열고 우수 스타트업을 시상했다. 워크원오원은 최우수상에 이름을 올렸다.
Read →
Events
행사 · 수상
전시회·프로그램·수상 등 주요 활동을 기록합니다.
Partners
함께하는 파트너
의료기관·기업과 함께 임상 및 제품 고도화를 진행합니다.




































도입/협업이 필요하신가요?
기관 환경에 맞춘 도입 형태를 함께 설계해드립니다. 데모/자료 요청도 가능합니다.




